CASES 症例紹介
ここでは特徴的な症例について、一部をご紹介いたします。
※手術の写真を掲載しておりますので、苦手な方はご注意ください。
小滝橋動物病院グループ全体の外科症例件数については、>こちらをご参照ください。
一般外科症例

犬の椎体骨折・椎体不安定に対する椎体固定術

目次


椎体骨折、椎体不安定症について


交通事故などで背骨が折れてしまったり、椎間板の問題でズレが生じ不安定性がある場合、背骨の中を通る脊髄に障害をきたし、歩行異常や麻痺などの症状が出ます。
また、大きな血管を損傷し、死に至る場合もあります。
椎体骨折や椎体不安定の場合、椎体を何らかの方法で固定し、元の位置に安定化させる必要があります。
小型犬〜中型犬で安全性が高く強固な固定は、折れている(ずれている)背骨とその前後の椎体にスクリューを打ち込み、打ち込んだスクリューを骨セメント(PMMA)という物質で固める方法です。
他にもプレートやピンを使用する方法もあります。
手術自体は難易度が高いのですが、Cアームという透視装置を導入したことで以前ほどの危険性はなくなりました。


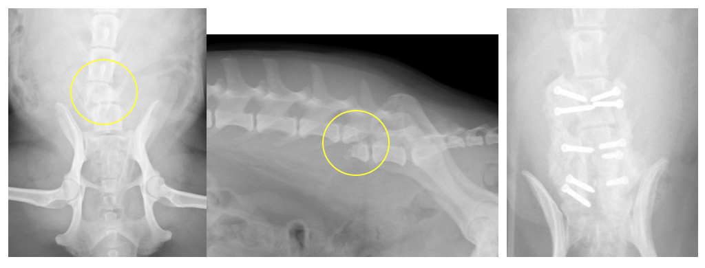
椎体固定術を行った実際の症例


交通事故で椎体骨折した症例です。左右からスクリューを打ち込み、そのスクリューを骨セメントで固定することで、背骨のグラつきをなくしています。
椎間板の問題で椎体にずれが生じた症例です。骨折ほど大きなズレではないため、片側からスクリューを打ち込み、それを骨セメントで固定しています。この症例は椎間板ヘルニアの手術で減圧術(ヘミラミネクトミー)も同時に行いました。
執筆担当: 獣医師 磯野 新