CASES 症例紹介
ここでは特徴的な症例について、一部をご紹介いたします。
※手術の写真を掲載しておりますので、苦手な方はご注意ください。
小滝橋動物病院グループ全体の外科症例件数については、>こちらをご参照ください。
一般外科症例

犬の膀胱結石

今回ご紹介するのは犬の膀胱結石の症例です。
一年ほど前から血尿になったり改善したりを繰り返していたそうで、ここの所なかなか改善しないということでご来院されました。 主な症状としては、以下のような事が挙げられました。
・ここの所、尿に混じる血液の量が多い
・一日に何度もおしっこに行く、一回量が少ない(頻尿)
・尿が出ていないのに排尿姿勢をとる
・元気がない、いつもよりぐったりしている
・陰部を気にしてよく舐めている

まずはじめに、聴診、視診、触診を行った所、下腹部のちょうど膀胱のあたりに硬いボール状のものが触知されました。
続いて、血液検査とレントゲン検査を行いました。
血液検査では尿素窒素(BUN)の軽度上昇、炎症性マーカーのCRPの軽度上昇が認められました。
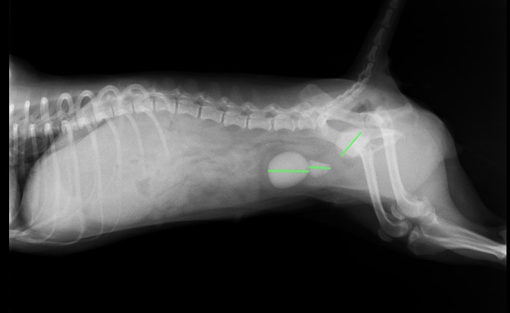
レントゲン検査では膀胱内に、3つのX線不透過性の物体が確認されました。(写真1、2)
その後出た尿からもストルバイトという結晶成分が検出されました。
写真1
写真2
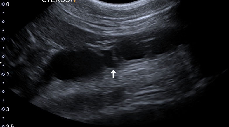
腹部超音波検査では、膀胱の前方に何か液体の貯留しているような部分を認めました。(写真3)
避妊手術をしていないこともあり、子宮内に液体が貯留している可能性が考えられました。
飼い主様との相談の結果、膀胱結石の摘出、異常所見のある子宮と共に卵巣を摘出(避妊手術)を行うことになりました。

翌日、膀胱切開術、子宮卵巣摘出術を行い膀胱内の石を摘出しました。(写真4)
膀胱結石は摘出した後に結石分析といって、石の成分を調べる検査を行います。
また、摘出した子宮も通常よりもかなり大きく腫れていたため、病理検査に提出しました。
写真3
写真4
結石分析の結果はストラバイト(リン酸マグネシウム・アンモニウム)でした。
この成分は、犬本来の膀胱内の環境が酸性であるのに対し、何らかの理由でアルカリ性になることで形成されてしまうと言われています。
大きな石になる前は小さな結晶として析出されます。結晶の状態では膀胱内の環境を酸性に戻してあげることで溶かす事ができますが、今回のような大きさでは溶かしきることは難しいので、外科手術の適応となります。
そのほかにもシュウ酸カルシウムという成分の結石がありますが、このタイプは溶かす事ができません。 すなわち問題となる場合は外科摘出が第一選択となります。 提出した子宮の病理検査結果は子宮水腫といって、子宮に液体が貯留してしまう病気でした。この病気は、子宮内膜の過形成が原因で液体が貯留し、放置すると膿に変化し、その結果子宮蓄膿症という病気に繋がる事もあります。
子宮蓄膿症は、状態次第では命に関わる病気です。
この症例は術後数日で頻尿、血尿はおさまり、膀胱に尿を貯めてしっかり排尿できるようになりました。

今後は再発防止のため、膀胱内の環境を整えるような療法食を与えてもらい、定期的に尿の状態を確認していく事になりました。

執筆担当:獣医師 赤司 一昭