CASES 症例紹介
ここでは特徴的な症例について、一部をご紹介いたします。
※手術の写真を掲載しておりますので、苦手な方はご注意ください。
小滝橋動物病院グループ全体の外科症例件数については、>こちらをご参照ください。
一般外科症例

猫の腸閉塞(異物)

目次


腸閉塞について


動物たちは実に様々な消化できない異物を飲み込んでしまいます。
1〜2日後に便から出てきてくれることもありますが、ものによっては消化管に詰まってしまいます。







腸閉塞の実際の症例


今回の症例は、1歳のブリティッシュ・ロングヘアーの猫ちゃんです。
2日前より繰り返し吐くようになり、もともとよく毛玉をよく吐く子なので家で様子を見ていたところ、元気・食欲が無くなってきたとのことで来院されました。
飼い主様には、誤食の心当たりはないとのことでした。


血液検査では特に異常は認められませんでした。
レントゲン検査所見です。
明らかな異物は確認できませんでした。
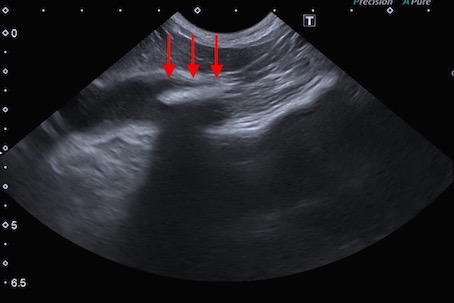
超音波検査所見です。
胃から出たすぐの十二指腸に怪しい影(赤矢印)が確認されました。また、胃および十二指腸に液体貯留所見(消化管の流れが悪いこと)も認められました。

異物による腸閉塞を疑い、確定診断のためCT検査を実施しました。
CT検査所見です。

診断:十二指腸内異物による腸閉塞(黄色丸)、および胃内異物(赤丸)
CT検査後、すぐに開腹手術を実施しました。

↓↓(術中の写真を載せます。苦手な方はご注意ください。)↓↓


摘出した異物の写真です。
摘出した異物を飼い主様に見て頂いたところ、硬いスポンジ性の「キッチンマット」だと思うとのことでした。
3ヶ月前にかじっていたそうで、おそらく今までは胃の中にとどまっていてくれたものが、何かの拍子に先に進んでしまい、腸管を詰まらせてしまったのだと思います。

術後は点滴治療を行い、1日間絶食絶水後、2日目から食事を開始しました。
その後の経過は順調であり、術後7日目に元気に退院していきました。


今回の症例は比較的迅速に検査から手術までを行うことができ、閉塞していた腸管の状態も良好でした。
これが、たった2〜3日遅れてしまうだけでも、腸管に穴が空いてしまい腹膜炎を起こしていた可能性、腸管が壊死してしまい腸管切除術が必要になってしまった可能性があったと思います。


異物誤食による腸管閉塞は程度の差はありますが、症状は数日で急速に悪化し、早めに対処しなければ生命の危機に直結する可能性をもつほど、重大な状態を体にもたらします。しかし、最初に見られる症状は嘔吐や下痢、元気・食欲がなくなるなど、よくみられる胃腸炎のような症状であることがほとんどです。
そして、異物はレントゲンの検査で写らない場合も多く、超音波検査でも診断が難しいことが多々あります。そういった時に今回実施したようなCT検査やバリウム(造影剤)などによる造影の検査を実施し、迅速な診断を心がけています。


猫ちゃんの異物誤食はとにかく予防が一番です。
そのため、普段からおもちゃや食べそうなものは出しっぱなししないこと、何か無くなっているものはないかなど、普段から私達人間が気をつけてあげる必要があります。


中野区の江古田の森ペットクリニック
執筆担当:獣医師 岩崎 真優子