CASES 症例紹介
ここでは特徴的な症例について、一部をご紹介いたします。
※手術の写真を掲載しておりますので、苦手な方はご注意ください。
小滝橋動物病院グループ全体の外科症例件数については、>こちらをご参照ください。
一般外科症例

犬の胆嚢摘出(胆嚢粘液嚢腫、胆嚢破裂)

目次


胆囊粘液嚢腫について


胆嚢は肝臓で作られた胆汁という消化液をためる臓器であり、総胆管という管を通じて、必要に応じて、胆汁を十二指腸に分泌しています。

胆嚢粘液嚢腫は、この胆嚢の中にゼリー状に固まった胆汁が蓄積してしまい、胆嚢炎や総胆管閉塞(総胆管が詰まり、胆汁が流れなくなる状態)を起こしてしまう病気です。はっきりとした原因は不明ですが、加齢とともにみられる胆嚢の運動性の低下や高コレステロール血症、副腎皮質機能亢進症や甲状腺機能低下症などの内分泌疾患が深く関与しているといわれています。

総胆管が詰まると、胆汁が血液中に逆流して、黄疸(体が黄色くなる)を呈して、吐き気や下痢、食欲不振などが認められるようになります。
また、胆嚢壁が虚血・壊死し、胆嚢破裂を起こしてしまうと、腹膜炎を呈し、発熱や腹部痛、元気消失などが認められるようになり、状態は急激に悪化してしまいます。




胆囊粘液嚢腫の実際の症例


今回ご紹介する症例は12歳の避妊雌、犬種はチワワです。
昨晩からの複数回の嘔吐、食欲不振とのことで来院され、お腹も痛そうにうずくまっているとのことでした。

血液検査では肝酵素の上昇(GPT 508 U/l、ALP 1560 U/l、GOT 214 U/l、GGT 16 U/l)、黄疸(T-bil 2.1 mg/dl)、炎症反応(CRP 17 mg/dl)が認められました。

画像検査で胆嚢粘液嚢腫が見つかりました。
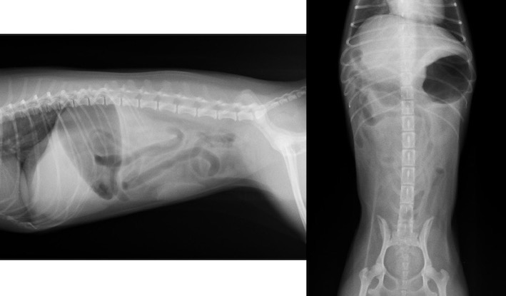
レントゲン検査画像です。
超音波検査画像です。
胆嚢の中に「キウイフルーツパターン」というキウイフルーツのような模様が見えた時、胆嚢粘液嚢腫を強く疑います。
総胆管の拡張も認められ、十二指腸の開口部で閉塞を起こしている可能性が考えられました。


胆嚢粘液嚢腫の治療方法は、点滴治療や内服(利胆剤や抗生物質など)、低脂肪食による内科治療か、胆嚢摘出や胆汁の排泄経路を変更する外科治療があります。(総胆管の完全閉塞症例では、利胆剤の使用は禁忌とされています)


飼い主様と相談の上、数日間は内科治療で経過をみていくことになりました。

しかし入院2日後、肝数値およびビリルビン値の上昇が認められ、胆嚢破裂を起こしてしまいました。
そのため、同日に緊急で開腹下での胆嚢摘出術を実施しました。



胆嚢粘液嚢腫の外科手術の基本は胆嚢自体をとってしまうことです。
胆汁がゼリー状になってしまう直接的な原因が、胆嚢壁の中にある粘液分泌細胞から過剰に粘液が出てしまうことによるものと考えられています。胆嚢をとってしまえば、胆汁がゼリー状に固まらず、つまりづらくなり、胆汁は直接肝臓から十二指腸に流れてくれます。

同時に、今回は総胆管の閉塞もおこしていたため、総胆管にカテーテルを挿入し、洗浄処置も行いました。(場合によっては、胆汁の排泄経路を変更する手術が必要となることがあります)

腹腔内をよく洗浄し、手術は終了としました。



胆嚢外科の周術期死亡率は比較的高く10〜30%と言われています。
今回は胆汁性の腹膜炎および膵炎を併発していましたが、幸い本症例は回復し、元気に退院していきました。


胆嚢粘液嚢腫は急激に悪化しうる病気であり、治療が遅れてしまうと亡くなってしまう可能性も高いです。
胆嚢は沈黙の臓器といわれ、状態が悪化するまで症状が出ないことが多いです。
そのため、定期的な健康診断をおすすめします。


中野区の江古田の森ペットクリニック
執筆担当:獣医師 岩崎 真優子