CASES 症例紹介
ここでは特徴的な症例について、一部をご紹介いたします。
※手術の写真を掲載しておりますので、苦手な方はご注意ください。
小滝橋動物病院グループ全体の外科症例件数については、>こちらをご参照ください。

膀胱アトニー

尿は腎臓で作られ、膀胱で溜められます。
膀胱アトニーとは膀胱の収縮力が失われ、完全な排尿ができずに膀胱内に尿が残ってしまう病気です。
症状としては排尿時の痛み、尿が出ない、尿漏れ、尿の過剰な蓄積による腹部の膨大などがあります。
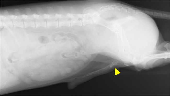
排尿できずに拡張した膀胱


原因は神経性と非神経性に分けられます。
膀胱はさまざまな神経の支配を受けています。
神経性の膀胱アトニーでは椎間板ヘルニアや脊髄腫瘍などさまざまな原因により膀胱の機能を担う神経が障害を受けることで、膀胱から排尿ができなくなる状態です。
神経が障害されることにより、蓄尿による膀胱の拡張を感じなくなったり、膀胱を収縮する筋肉を動かすことができなくなります


非神経性の原因としては尿道結石や腫瘍、炎症などによって尿道が詰まってしまうことで排尿が長時間できず、膀胱を収縮させる筋肉が壊れてしまうことにより発生します。
膀胱と尿道の位置
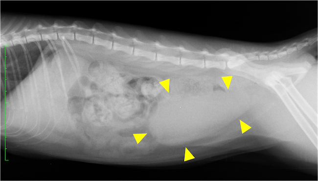
尿道内に結石が5つ連なって認められる


治療は原因となっている疾患の治療を行うことが一番大切です。
しかし中には障害の期間が長い/障害の程度が強いために膀胱の機能が戻らなくなってしまうことも珍しくありません。
その場合には尿道カテーテルや圧迫排尿による排尿補助、尿道カテーテルの留置、膀胱からの排尿を補助する薬などを使用します。
カテーテルの使用や圧迫排尿は尿路感染症の発生を引き起こすリスクがあり、場合によっては腎盂腎炎に移行してしまうこともしばしば認められるため、定期的なモニタリングが必要となります。

執筆担当:獣医師 三浦 篤史
東京都中野区江古田4-37-4 TEL:03-5942-5855
中野区の江古田の森ペットクリニック トップページはこちら>>
ネット予約はこちら>>